Aging Eyes,Glaucoma,Provider Newsletter,Uncategorized

While no ocular fountain of youth exists and not all eye conditions are preventable, one of our most important roles as eye clinicians is helping the public maintain their vision and ocular health as they age.
Unfortunately, there is still the idea among the public that if one has good vision, then they don’t need to have an eye exam. Many of us have experienced a patient who hasn’t had an eye exam for 5 plus years and who now has advancing eye disease. Imagine the impact if we could convince everyone to have full eye exams more consistently as this can help to detect conditions which can occur with no ocular symptoms like glaucoma or diabetic eye disease. We encourage patients to have regular eye exams not simply because it is a good practice, but more importantly because it is our hope that we can help maintain one of their most precious senses.
Another component of the comprehensive eye examination which has gained some traction and will likely accelerate in the coming years is to obtain baseline imaging of the fundus including the optic nerve at least by young adulthood. This can help improve our ability to appropriately monitor the eye for changes like glaucoma. Considering the prevalence of Primary Open Angle Glaucoma increases significantly from age 40 to 80, it is helpful to have a reference point available for future comparison when such early changes become evident. Even if there is no pathology evident to be able to medically bill for baseline images, acquiring them is still helpful for the future care of the patient.
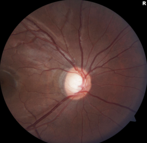
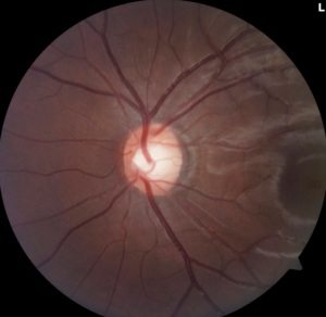
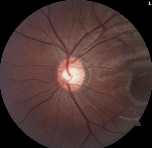
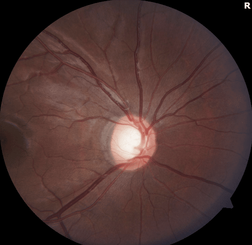
(Fundus photos of a 20 year old with congenital glaucoma)
Beyond regular exams, most additional methods to promote healthy eyes are the same to maintain good systemic and mental health. Good cardiovascular health, including regular physical activity as well as maintaining good blood pressure and cholesterol levels helps not just improve ocular health but impacts wellness as a whole.
The same can be said about the benefits of good nutrition. Consuming foods rich in antioxidants, vitamins and minerals has been notably shown to help prevent advancing stages of macular degeneration and even dry eye.
Utilizing proper sunwear is also helpful in promoting ocular health both of the external and internal anatomy of the eye. Some encourage patients to wear sunglasses when outside for more than 5-10 minutes.
Let’s not forget to mention promoting protective eyewear to avoid accidental ocular injuries. Blunt force trauma can lead to serious long term consequences. Therefore, we should promote extra care with high speed machinery, airsoft and paintball guns, as well as bungee chords and exercise bands (just to name a few of the culprits of injuries we’ve seen over the years).
Smoking cessation, or what’s more, avoiding starting smoking is also a concept that we as eye providers should help to champion.
As we promote regular ocular examination, healthy lifestyles, nutrition, and proper eye protection we can help improve the quality of our patient’s lifelong vision and in turn the quality of their lives.
Citations:
1) Grzybowski A, Och M, Kanclerz P, Leffler C, Gustavo De Moraes C. Primary Open Angle Glaucoma and Vascular Risk Factors: A Review of Population Based Studies from 1990 to 2019. J Clin Med 2020 Mar 11; 9(3):761. doi: 10.3390/jcm9030761.
2) Domalpally A, Agrón E, Pak JW, Keenan TD, Ferris FL 3rd, Clemons TE, Chew EY. Prevalence, Risk, and Genetic Association of Reticular Pseudodrusen in Age-related Macular Degeneration: Age-Related Eye Disease Study 2 Report 21. Ophthalmology. 2019 Dec;126(12):1659-1666. doi: 10.1016/j.ophtha.2019.07.022. Epub 2019 Jul 29. PMID: 31558345
Author: Justin Wright, OD
Specialty: Medical Eye Care
“I consider it a privilege to help care for patients and their eyes. As we, as an eye care community, promote proper ocular health we can improve the quality of patients’ vision and in turn the quality of their lives.”



